Правильный прикус - основа красивого лица

Отделение ортодонтии, гнатологии
и эстетико-функционального протезирования
Подготовка к ортогнатическим операциям для исправления неправильного прикуса брекетами и элайнерами.

Устраняем асимметрии лица, дистальный прикус, мезиальный прикус, перекрестный прикус, открытый прикус и глубокий прикус.
Помогаем, даже когда другие отказываются
С чем к нам обращаются?
Устранение скелетных нарушений прикуса и улучшение эстетики лица
Даже без физического дискомфорта, грубые нарушения прикуса снижают качество жизни и лишают уверенности в себе.
Достижение красивой
улыбки и
правильного
прикуса
неправильный прикус на фоне нарушения размера или положения челюстей искажает черты лица
неправильное положение челюсти может провоцировать неправильную нагрузку на мышцы и челюстные суставы.
Это может сопровождаться:
дискомфортом при жевании
Профилактика и лечение хруста и болей челюстного сустава
проблемами с дыханием и сном
головными болями
нарушениями дикциии
щелчками и болями в суставах
Почему мы?
Сопровождаем пациента
на всех этапах лечения
Подготовили к ортогнатической операции и успешно завершили более 500 клинических случаев.
Проведение ортогнатических
операций на базе стационаров
ведущих государственных лечебных учреждений страны
Мы не только применяем самые передовые подходы к исправлению неправильного прикуса, но и создаем собственные
Опыт
Цифровой контроль состояния Вашей зубочелюстной системы от этапа диагностики до конечного результата

Партнерство
Исследования
Мы всегда честны и откровенны с пациентами: если какие-то этапы лечения для вас не подходят, мы объясним почему и предложим альтернативу
«Комплексная диагностика неправильного прикуса»
Фотоконтроль всех этапов лечения
Анализ 3-х мерного снимка зубов и челюстей
Цифровое сканирование зубов верхней и нижней челюсти с регистрацией прикуса
Консультация гнатолога для объективной оценки состояния нижнечелюстного сустава
Цифровое моделирование конечного результата лечения
Консультация с челюстно-лицевым хирургом для уточнения оптимальной стратегии лечения
Формируем электронную базу данных
Мы заботимся не только о физическом, но и о психологическом здоровье наших пациентов и потому сотрудничаем с высококлассными клиническими психологами
«Ортодонто-ортопедическая подготовка к челюстно-лицевой операции»
Изменение положения зубов с применением современных брекетов либо элайнеров
Установка имплантов и временных коронок уже на этапе подготовки к ортогнатической операции
Восстановление стертых и разрушенных зубов для максимально стабильного сопоставления челюстей на этапе челюстно-лицевой хирургии
Мы сотрудничаем с центром реабилитации опорно-двигательного аппарата, специализирующимся на мануально-терапевтической поддержке состояния нижнечелюстного сустава
Помощь врача-гнатолога и изготовление сплинтов
Психологическое консультирование
при необходимости
«Ортогнатическая хирургия»
Трехмерное планирование операции
Сдача анализов и общение
с анестезиологом
Проведение ортогнатической операции на челюстных костях в условиях специализированного стационара
«Финишное выравнивание зубов»
Постоперационная детализация положения зубов с применением брекетов и элайнеров

Снятие брекетов и изготовление каппы после снятия брекетов для удержания результата исправления прикуса
«Эстетико-функциональное протезирование»
Изготовление эстетических реставраций (керамические или композитные виниры)
Функциональное изменение анатомической формы зубов для стабилизации итогового результата
Изготовление постоянных коронок с опорой на импланты
Наблюдение за результатом лечения (регулярные осмотры каждые 6 месяцев
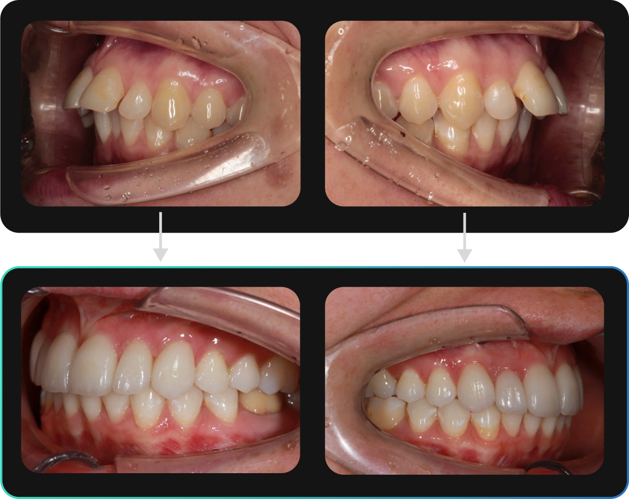
Успешные операции
Лечение:
на вестибулярных брекетах подготовили положение зубов для хирургического исправления прикуса
в специализированном стационаре провели двучелюстную сегментарную ортогнатическую хирургию
установили 6 рефракторных виниров на верхней челюсти, чтобы восстановить пропорции зубов (после реабилитационного периода и снятия брекет системы)
Жалобы:
Неудовлетворительная эстетика лица
и положения зубов - не устраивали торчащие вперед верхние зубы и состояние профиля лица. Также отмечался усиливающийся
с годами ночной храп, что не радовало девушку в молодом возрасте.
Врачи:
Дыбов Андрей Михайлович, дмн
Денисова Екатерина Александровна
Газаров Александр Ервандович («Студия современной стоматологии Александра Газарова»)
хирургия-отделение ЧЛХ МГМСУ.
Лечение:
на вестибулярных брекетах подготовили положение зубов для хирургического исправления прикуса
в специализированном стационаре провели двучелюстную сегментарную ортогнатическую хирургию
установили 6 рефракторных виниров на верхней челюсти, чтобы восстановить пропорции зубов (после реабилитационного периода и снятия брекет системы)
Жалобы:
Неудовлетворительная эстетика лица
и положения зубов - не устраивали торчащие вперед верхние зубы и состояние профиля лица. Также отмечался усиливающийся
с годами ночной храп, что не радовало девушку в молодом возрасте.
Врачи:
Дыбов Андрей Михайлович, дмн
Денисова Екатерина Александровна
Газаров Александр Ервандович («Студия современной стоматологии Александра Газарова»)
хирургия-отделение ЧЛХ МГМСУ.
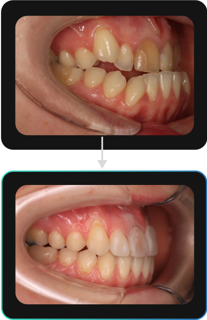
проблемы при пережевывании пищи, сложности со смыканием губ и носовым дыханием, дефектом речи, сложно следить
за гиеной зубов и неудовлетворительная эстетика улыбки. В анамнезе присутствует расщелина альвеолярного отростка.
Курс реабилитации: 2,5 года
Денисова Екатерина Александровна - ортодонтия
Мохирев Михаил Аркадьевич - хирургия.
Дыбов Андрей Михайлович д.м.н. доцент - ортодонтия и ортопедия
Полная санация зубов (лечение кариесов и его осложнений),
Установка вестибулярной брекет-системы для подготовки зубных рядов к проведению ортогнатической хирургии
функциональное смыкание зубов, место под рациональную имплантацию на верхней челюсти, устранение всех жалоб пациента
в классическом прикусе выполнить протезирование во фронтальном отделе
Жалобы
Лечение:
Результаты:
Следующий этап:
Врачи:
Сизикова Полина Николаевна - терапия зубов.
неудовлетворительная эстетика лица
и улыбки, разрушаются зубы, есть утраченные.
Курс реабилитации: 2 года
Дыбов Андрей Михайлович, дмн - Ортопедическаяреабилитация
Сенюк А.Н. к.м.н. - ортогнатия хирургическая
Жук А.О. к.м.н. - ортодонтичекая подготовка
провели ортодонтическую подготовку к операции
выполнили двучелюстную ортогнатическую хирургическую операцию
завершили реабилитацию керамическими реставрациями
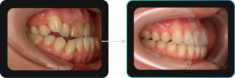
Жалобы:
Лечение:
Врачи:
На болевые ощущения при движениях
нижней челюсти. Затрудненное открывание рта. Асимметрию лица. Смещение челюсти влево.
Магнитно-резонансная томограмма суставов,
Трехмерный анализ компьютерной томограммы
Оценка положения нижней челюсти
в артикуляторе
Курс реабилитации: 2,5 года
Дыбов Андрей Михайлович д.м.н. доцент - ортодонтия и ортопедия
Ляшев Илья Николаевич к.м.н. - Ортогнатическая хирургия и хирургия суставов
Сплинт-терапия (шинотерапия)
Хирургическое вправление суставного диска
Подготовка к хирургическому исправлению прикуса с применением брекет-системы
Изменение анатомической формы зубов за счет временных реставраций
Двучелюстная операция
Итоговая коррекция положения зубов на брекет-системе
Подготовка к эстетико-функциональному протезированию
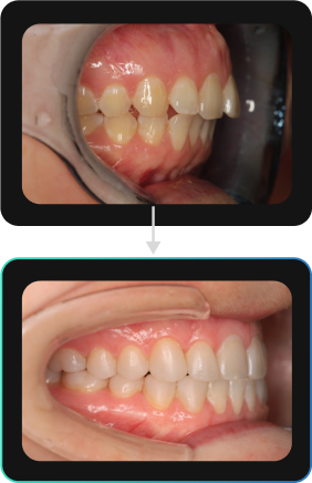
Жалобы
Диагностика
Лечение:
Врачи:
на затрудненное пережевывание пищи.
Открытый прикус. Несмыкание губ.
Трехмерный анализ компьютерной томограммы
Оценка положения нижней челюсти в артикуляторе Планирование костно-реконструктивного вмешательства
Курс реабилитации: 2 года
Дыбов Андрей Михайлович д.м.н. доцент - ортодонтия и ортопедия
Сенюк Андрей Николаевич к.м.н. - Ортогнатическая хирургия
Подготовка к хирургическому исправлению прикуса с применением брекет-системы
Изменение анатомической формы зубов за счет временных реставраций
Двучелюстная операция
Итоговая коррекция положения зубов на брекет-системе
Подготовка к эстетико-функциональному протезированию
Жалобы
Диагностика
Лечение:
Врачи:
на затрудненное пережевывание пищи,
вогнутый профиль лица. Большой подбородок
Трехмерный анализ компьютерной томограммы
Оценка положения нижней челюсти в артикуляторе Планирование костно-реконструктивного вмешательства
Курс реабилитации: 2,5 года
Дыбов Андрей Михайлович д.м.н. доцент - ортодонтия и ортопедия
Иванов Сергей Юрьевич д.м.н. профессор, член-корреспондент РАН. - Ортогнатическая хирургия
Снятие брекет-системы, установленной в другом ЛПУ
Подготовка к хирургическому исправлению прикуса с применением брекет-системы
Изменение анатомической формы зубов за счет временных реставраций
Двучелюстная операция
Итоговая коррекция положения зубов на брекет-системе
Подготовка к эстетико-функциональному протезированию
Жалобы
Диагностика
Лечение:
Врачи:
Магнитно-резонансная томограмма суставов,
Трехмерный анализ компьютерной томограммы
Оценка положения нижней челюсти
в артикуляторе
на болевые ощущения при движениях нижней челюсти. Затрудненное открывание рта.
Асимметрию лица. Смещение челюсти влево. Десневуая улыбка
Курс реабилитации: 2 года
Дыбов Андрей Михайлович д.м.н. доцент - ортодонтия и ортопедия
Ляшев Илья Николаевич к.м.н. - Ортогнатическая хирургия и хирургия суставов
Сплинт-терапия (шинотерапия)
Хирургическое вправление суставного диска
Подготовка к хирургическому исправлению прикуса с применением брекет-системы
Изменение анатомической формы зубов за счет временных реставраций
Двучелюстная операция
Итоговая коррекция положения зубов на брекет-системе
Подготовка к эстетико-функциональному протезированию
Диагностика
Жалобы
Лечение:
Врачи:
Трехмерный анализ компьютерной томограммы
Оценка положения нижней челюсти
в артикуляторе. Планирование
костно-реконструктивного вмешательства
на затрудненное пережевывание пищи, Выпуклый профиль лица, маленький
подбородок
Курс реабилитации: 2,5 года
Дыбов Андрей Михайлович д.м.н. доцент - ортодонтия и ортопедия
Ляшев Илья Николаевич к.м.н. - Ортогнатическая хирургия
Подготовка к хирургическому исправлению прикуса с применением брекет-системы
Изменение анатомической формы зубов за счет временных реставраций
Двучелюстная операция
Итоговая коррекция положения зубов на брекет-системе
Эстетико-функциональное протезирование
Диагностика
Жалобы
Лечение:
Врачи:
Лечение:
провели сплинт терапию для дистракции суставных головок и устранения трения костных структур
выполнили ортодонтическую подготовку под проведение ортогнатической хирургии
Анамнез:
было ортодонтическое лечение,
зубы достаточно ровные.
Врачи:
Дыбов Андрей Михайлович, дмн - ортодонтия и ортопедия
Денисова Екатерина Александровна - ортодонтия и ортопедия
Ляшев Илья Николаевич, к.м.н. - хирургия
Диагностика
выявили скелетную асимметрию размеров челюстей (скелетный дистальный прикус), заднее положение подбородка и дисфункцию ВНЧС из-за дислокации суставных дисков и деформации головок сустава, что привело к скошенному профилю.
Результат:
нормализовали прикус, улучшили эстетику лица и обеспечили поддержку структур ВНЧС
Жалобы:
беспокоит ВНЧС, есть болевые
и дискомфортные ощущения при приеме пищи.
реставрировали стертые зубы для стабилизации прикуса
Лечение:
подготовили положение зубов на брекетах
провели двучелюстную сегментарную ортогнатическую хирургию в специализированном стационаре
Жалобы:
неэстетичность улыбки
и неудовлетворительная эстетика лица, волевой подбородок, невозможно откусывать передними зубами.
Врачи:
Дыбов Андрей Михайлович, дмн - ортодонтия
Денисова Екатерина Александровна - ортодонтия
Ляшев Илья Николаевич, к.м.н.- хирургия
Результат:
один из тех клинических случаев, где пациент молодеет после лечения
следующий этап: протезирование во фронтальном отделе верхней челюсти для достижения эстетичного внешнего вида
Лечение:
подготовили положение зубов на брекетах
провели двучелюстную сегментарную ортогнатическую хирургию в специализированном стационаре
Жалобы:
неэстетичность улыбки
и неудовлетворительная эстетика лица, волевой подбородок, невозможно откусывать передними зубами.
Врачи:
Дыбов Андрей Михайлович, дмн - ортодонтия
Денисова Екатерина Александровна - ортодонтия
Ляшев Илья Николаевич, к.м.н.- хирургия
Результат:
один из тех клинических случаев, где пациент молодеет после лечения
следующий этап: протезирование во фронтальном отделе верхней челюсти для достижения эстетичного внешнего вида
Наше отделение
Дыбов Андрей Михайлович
Доктор Медицинских Наук, доцент ВРАЧ-ОРТОДОНТ, ОРТОПЕД, ГНАТОЛОГ
Стаж - 17 лет
Андрей Михайлович регулярно участвует в российских и международных симпозиумах, посвященных актуальным аспектам ортопедической стоматологии и ортодонтии, а также проводит лекции и мастер-классы для начинающих и практикующих врачей-ортодонтов и ортопедов.
Написал и опубликовал более 40 печатных работ, в том числе в журналах, рекомендованных ВАК, Scopus и Web of Science.
Защитил докторскую диссертацию на тему Междисциплинарная реабилитация пациентов с врожденными и приобретенными челюстно-лицевыми деформациями на основе протокола трехмерного компьютерного планирования
Специализация:
эстетическое и функциональное протезирование,
подготовка к ортогнатическим операциям,
подготовка к операциям на ВНЧС
послеоперационное ведение.
исправлению прикуса,
лечение дисфункции ВНЧС,
Дыбов Андрей Михайлович
Доктор Медицинских Наук, доцент ВРАЧ-ОРТОДОНТ, ОРТОПЕД, ГНАТОЛОГ
Стаж - 17 лет
Андрей Михайлович регулярно участвует в российских и международных симпозиумах, посвященных актуальным аспектам ортопедической стоматологии и ортодонтии, а также проводит лекции и мастер-классы для начинающих и практикующих врачей-ортодонтов и ортопедов.
Написал и опубликовал более 40 печатных работ, в том числе в журналах, рекомендованных ВАК, Scopus и Web of Science.
Защитил докторскую диссертацию на тему Междисциплинарная реабилитация пациентов с врожденными и приобретенными челюстно-лицевыми деформациями на основе протокола трехмерного компьютерного планирования
Специализация:
эстетическое и функциональное протезирование,
подготовка к ортогнатическим операциям,
подготовка к операциям на ВНЧС
послеоперационное ведение.
исправлению прикуса,
лечение дисфункции ВНЧС,
Ляшев Илья Николаевич
Кандидат медицинских наук
Челюстно-лицевой хирург, хирург имплантолог
Стаж - 24 года
Илья Николаевич проводит ортогнатические операции на основании трехмерного компьютерного планирования, операции на нижнечелюстном суставе, ринопластику, гениопластику, увеличение объема костной ткани для осуществления дентальной имплантации. Сфера научных интересов лежит в области реконструктивной хирургии лица.
Специализация:
ортодонтическая хирургия;
травматология и реконструктивная хирургия;
комплексное лечение врождённых и приобретённых деформаций лицевого скелета;
функциональная и эстетическая хирургия лицевой области и дентальная имплантация.
Мамедов Адиль Аскерович
Доктор медицинских наук, профессор, заслуженный врач
Мамедов Ад.А. – член Европейской ассоциации черепно-челюстно-лицевых хирургов (2007), входит в совет Российской ассоциации челюстно-лицевых хирургов, член Американской ассоциации черепно-челюстно лицевых хирургов – расщелина губы и неба (American Cleft Palate-Craniofacial Association (ACPA), 2012, является членом Стоматологической ассоциации России (СтАР), Российского общества пластических, реконструктивных и эстетических хирургов (РОПРиЭХ), Московского городского общества челюстно-лицевых хирургов.
Является членом попечительского Совета ICPF (International Cleft Palatae Foundation, Лауреатом Международной гуманитарной премией ICPF (2016). Автор 4 монографий, 8 коллективных учебных пособий, 20 авторских свидетельств и патентов на изобретения, 12 методических рекомендаций, более 450 научных работ в отечественных и зарубежных журналах.
Под руководством профессора Мамедова Ад.А. создана научная школа –защищено 28 диссертаций, из них – 5 докторских, 23 кандидатские диссертации.
России
Воронин Андрей Владимирович
Врач стоматолог-терапевт, ортопед,
Специалист в области протезирования
Специалист по комплексной реабилитации полости рта, протезированию коронками и на имплантах, лечению и перелечиванию корневых каналов под микроскопом.
Окончил Московский государственный медико-стоматологический университет в 2005 году по специальности «Стоматология». В 2006 году завершил интернатуру, а в 2008 году — ординатуру по специальности «Стоматология общей практики». В 2015 году прошёл профессиональную переподготовку по специальности «Стоматология ортопедическая» на базе ГБОУ ВПО КГМУ Минздрава России.
Постоянно повышает квалификацию, участвуя в международных конгрессах и симпозиумах, включая мероприятия VDW Endodontic Synergy GmbH и «Квинтэссенция эндодонтии». Регулярно проходит обучение и практику в зарубежных учебных центрах у ведущих специалистов, таких как доктор Михаил Соломонов, Илья Мер, Гаджи Дажаев и другие.
Владеет современными методами лечения, включая использование операционного микроскопа, цифровых технологий в диагностике и протезировании, а также техникой работы с артикулятором и лицевой дугой системы SAM.
Запишитесь на консультацию
Запишитесь
на консультацию
Консультация - первый шаг на пути к решению проблемы!
проведем осмотр
назначим дополнительную диагностику
составим план лечения
поставим диагноз и подробно объясним клиническую картину
Длительность — 30-40 минут
Запишитесь на консультацию
Запишитесь
на консультацию
Консультация - первый шаг на пути к решению проблемы!
проведем осмотр
назначим дополнительную диагностику
составим план лечения
поставим диагноз и подробно объясним клиническую картину
Длительность — 30-40 минут
Внимание! Данный интернет-сайт носит информационный характер и ни при каких условиях не является публичной офертой, которая определяется положениями Статьи 437 (2) Гражданского кодекса РФ. Для получения подобной информации, пожалуйста, обращайтесь к нам по телефону или напишите через форму обратной связи.
Городской стоматологический центр
Отделение функционирует на базе стоматологической клиники
ООО "ГСЦ", ИНН: 7730660806
Лицензия №ЛО-77-01-006007 от 10.04.2013